位置:主页 > 医疗教学 > 教学文档 > 网络资源
胸部医学影像征象集萃(3)
来源:未知 作者:seagull8111 点击:次 时间:2013-03-20

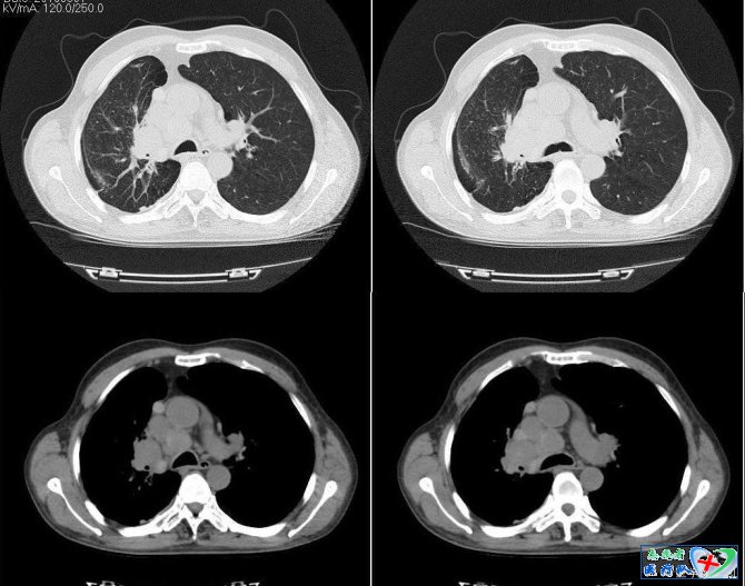
11、彗星尾征:
在胸部主要指由胸膜下肿块延伸至同侧肺门的线条状影。这种征象的形成,是由于当扭曲的血管、支气管走行至形似肿块的球形肺不张邻近区域时,支气管血管束似被牵拉进入肿块,形成像彗星尾样的征象。该征像是球形肺不张的典型征象。球形肺不张形成的机制,可能是刺激性的局限性胸膜炎,也有人认为是胸腔积液导致邻近的肺不张。球形肺不张的X线表现主要为胸膜下圆形或卵圆形,直径2.5~8.0cm,病灶与胸膜呈锐角,常不与膈面相连,相邻胸膜常见增厚,多为单发,偶见多发,多位于下叶,也可位于上叶。累及的肺叶体积常常缩小,其间可见支气管充气征。CT表现为肿块直径4~7公分,位于肺外周;肿块周边密度较高,中心可见充气支气管;肿块与胸膜成锐角;常出现胸膜瘢痕和胸膜增厚;支气管血管束似被牵拉进入肿块内;至少有两处边缘锐利;血管束进入的一侧边缘较模糊。

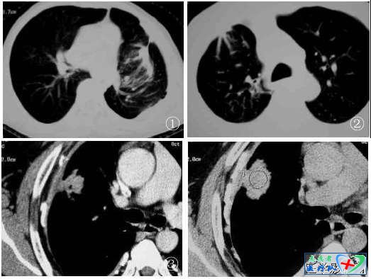
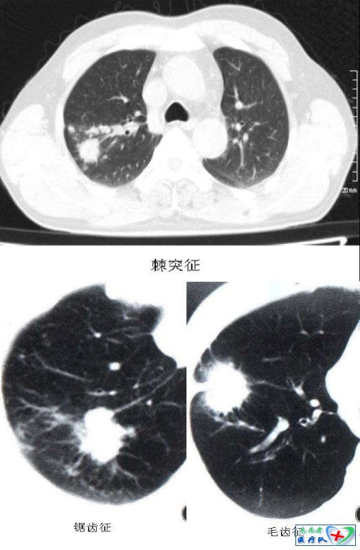
12、棘状突起征(棘突征、锯齿征伪足征):
指结节边缘呈尖角状突起,如同小的三角形,使病灶边缘不规则。如果棘状突起密集排列就构成了“锯齿征”;如果棘状突起粗细、长短不一时,如螃蟹足,就是“伪足征”。上述三种征象其实都是棘突征的不同表现,是介于分叶和毛刺之间的的一种粗大而钝的结构。其病理基础是肿瘤发育先端的浸润性生长,肿瘤因子诱发肿瘤新生血管致使肿瘤组织生长速度不均匀,尤其肿瘤周边部的血管丰富、密度大、数量多(主要来源于支气管动脉,少数来自肺动脉及其他侧枝血管),因而癌细胞增殖活跃;其次,邻近肺组织的瘤巢或肿瘤浸润,使结缔组织水肿、纤维化、增厚等形成棘状突起;第三,肿瘤周围的生长环境如小叶间隔或血管等组织的阻挡作用;另外一种情况是肿瘤突出部分与CT扫描层面部分相切而成尖角状改变。棘状突起也是分叶征的一部分,因此,棘状突起也是肺癌的的重要征象。

13、“碎石路征”CPA
可见于肺部多种疾病:
8肺泡蛋白沉积症
8肺炎型肺泡癌
8寻常型间质性肺炎
8急性放射性肺炎
8卡氏肺囊虫性肺炎
8外源性脂类肺炎
HRCT 诊断标准:
1.地图样分布的磨玻璃影
2.网格状小叶间隔和小叶内间隔增厚



上一篇:浅谈女性的生理周期 下一篇:膝关节疼痛的诊断与鉴别诊断


