位置:主页 > 医疗教学 > 教学文档 > 网络资源
胸部医学影像征象集萃(2)
来源:未知 作者:seagull8111 点击:次 时间:2013-03-20

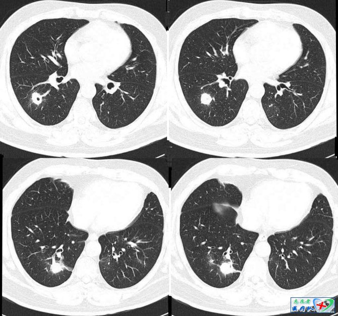
6、分叶征
众所周知,这是周围性肺癌的一个比较特异的征象,结节边缘凹凸不平的分叶状轮廓,是该征的主要表现。分叶征有深分叶、中分叶及浅分叶之分,以弦弧距和弦长之比来衡量:比值≥0.4为深分叶;浅分叶≤0.2;比值=为中分叶。这样划分的意义在于界定肿瘤的良恶性质,一般深分叶多是恶性肿瘤,对于肿块达3~5公分的肿瘤,分叶多较大、较明显,因而恶性度也很高;而分叶较大且浅者,多见于良性肿瘤或其他量性肿块。分叶形成的机制有下属几方面的原因:一是肿瘤生长的速度;而是肿瘤受周围组织或器官的阻挡和限制(在肺癌的大体标本切面上,常可见到小叶间隔的纤维增生,形成对肿瘤组织生长有限制作用);三是肿瘤突破小叶间隔向外扩展并和邻近的相互合并进而形成较大的分叶。

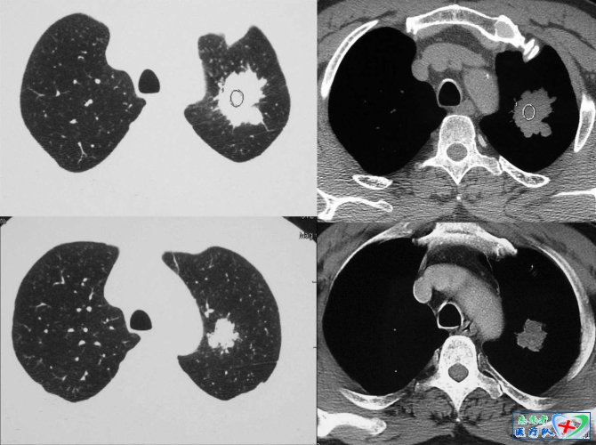
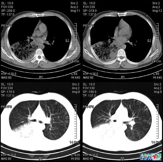
7、蜂窝征:
在纵隔窗下观察可见由多个小泡集成蜂窝状,其大小比较一致,以浅淡实变为主,此征仅见于肺泡癌。病理上为癌细胞沿肺泡壁生长,肺结构无破坏,未封闭肺泡腔,由于腔内遗留粘液加之以细支气管被肿瘤浸润形成的活瓣样阻塞导致管腔不同程度的扩张。

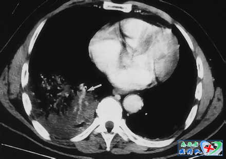
8、供血血管征:
供血血管征不同于血管造影中的肿瘤血管,该征象主要指的是在用CT扫描肺部时出现的肺部多个结节,并见血管结构穿行其间。该征象在肺部多排螺旋CT的高分辨率扫描时更为明显。但实际上动脉血管并没有真正穿行结节内,而是围绕结节走形。真正穿行其间的是肺静脉。该征的出现主要提示肺部的血源性感染,比如浓度栓子,也见于肺转移瘤。有学者研究发现,只有18%的结节有明确的肺动脉进入结节,58%的结节没有进入结节内,而是沿着其边缘走形,提示血管被结节所推移。对于少数穿行结节内部的动脉血管,有研究认为是动脉血管起初走形于两个小结节之间,随后由于这两个结节长大融合,使走形于其间的动脉血管由绕行成为“穿行”。

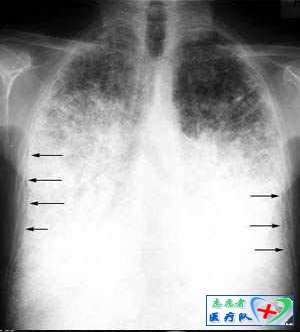
9、黑边征(黑胸膜线):
由于胸壁和肺内微石的衬托,再肺实质和肋骨之间出现细条状低密度影。黑边征是肺泡微石症的X线征象,HRCT已经证实,在X线看到的黑边征,其实是胸膜下微小囊肿沿胸膜面排列而成的。肺泡微石症因为重力的作用,病变分布主要在中下肺野。在X线上的过度曝光状态可以检出更多的钙化结节。病灶形态多样,包括磨玻璃状、条纹状沿支气管分布,同时可见纤维索条影、支气管血管束不规则及囊肿形成。这种复杂的表现反映了肺泡微石症反复的过程,可形成克氏B线,也可形成黑边征。


10、横S征(反S征):
当肿瘤发生于右上叶支气管时,X线可见右肺门肿块与右上叶不张相连,构成形似S横着写的征象,为右上叶中央型肺癌特征性表现。因为右肺上叶位于斜裂前方,下方以水平裂为界,侧方位胸壁,内测是纵隔。当右肺上叶容积缩小,根据容积缩小的程度出现的解剖改变包括胸膜裂移位、结构变化及肺密度增加。在右肺上叶不张时水平裂和斜裂向纵隔方向向上、内移动,右肺中、下叶代偿性膨胀,后前位胸部X线片上可见水平裂向下凹,形成代表肺叶不张三角形密度影,尖端指向肺门,外缘以胸壁为宽基,严重的右上肺不张可以与纵隔平行,和纵隔宽相似,或向上压缩如尖帽。此时,如果有一个较大的肺门肿块出现,与凹面向下的水平裂结合,在后前位胸部平片上就形成横S征。其实,不只是在右肺上叶,只要肿瘤或淋巴结压迫上叶支气管导致肺不张,就会由肿块和不张肺边缘形成此种征象。其次,横S征也不是只在X线上看到,在CT上同样可以见到。上一篇:浅谈女性的生理周期 下一篇:膝关节疼痛的诊断与鉴别诊断


