位置:主页 > 医疗教学 > 教学文档 > 网络资源
胸部医学影像征象集萃
来源:未知 作者:seagull8111 点击:次 时间:2013-03-20
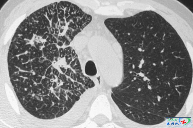
1、串珠样间隔征
胸部高分辨扫描图像上,在肺野周边部或外1/3的肺内小叶间隔表现为不规则、结节状增厚。这是肿瘤细胞在毛细血管或淋巴管内不规则膨胀性生长以及继发的血管周围和间质水肿及纤维化。串珠样间隔征的形成,主要是转移瘤细胞或瘤栓经血型或淋巴播散以及逆行性淋巴管转移在肺周边部的毛细血管或淋巴管内,致使转移灶远测血管或淋巴管扩张;转移灶阻塞引起肺间质水肿;病灶在毛细血管和淋巴管周围不规则生长;长期间质水肿继发纤维增生;周边部毛细血管或淋巴管内肿瘤生长并填充其间。该征主要见于肺转移瘤,其次也见于肺结节病和先天性肺小叶周围纤维化。

2、多结节聚合征
胸部高分辨CT扫描时,这种表现有三种表现:花瓣状、桑椹样和葫芦状。花瓣状病灶一般直径在2公分以内,纵隔窗下可见由3~5个1~5mm的小结节聚合而成,每个小结节之间有低密度分隔,形如花瓣;桑葚样病灶大于2公分,由10个左右的小结节聚合而成;葫芦状结构呈多个椭圆形堆彻排列,胸膜侧的结节最大,直径可达3~5公分,其内密度较低,近肺门侧直径较小,直径约1.5公分,形如葫芦状。花瓣状聚合被认为是周围性肺癌的早期表现;桑葚样多结节聚合征可能是小叶间隔纤维增生,肺癌各部生长不一,肿瘤生长遇到阻力;葫芦样结节被认为是肿瘤组织以连续浸润方式进行扩散,由于肿瘤不断增大,从原发肿瘤脱落下来的流组织经组织间隙、淋巴管、血管等侵入并破坏周围正常组织且继续生长(肿瘤成团的充满肺泡腔,并沿肺泡空向周围继续生长,膨胀性扩大)或肿瘤沿肺泡壁伏壁生长,都可以形成此征。

3、反晕征
和晕征的表现相反,在高分辨胸部CT肺窗上观察,病灶中心密度低呈磨玻璃状,周围是新月形或环形高密度,厚度至少2mm。这种表现是由于中心为低密度由肺泡间隔浸润和细胞碎片,周围环形或新月形高密度是肺泡管机化性肺炎或致密、均匀肺泡间细胞浸润所导致的致密气腔实变。起初认为对诊断隐原性肺泡炎有特异性,但随后发现该征象也见于类球孢子菌病的描述中。和晕征相似,当该征象见于多种疾病后,可能失去其特异性。

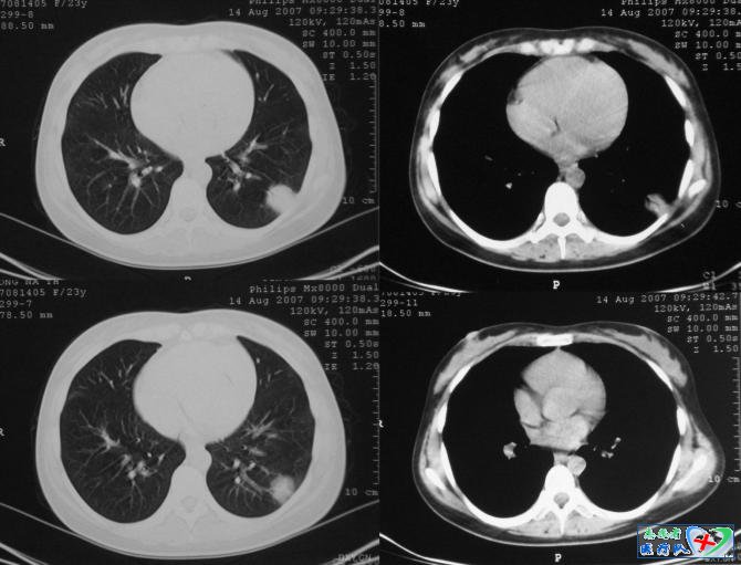
4、方形征
病变临近胸膜或叶间胸膜时,两侧缘可垂直于胸膜,呈刀切样,致病变呈方形。肺部炎症时,炎性渗出物沿肺泡孔向上下、左右、前后均匀扩散,形成各经线均匀相近的炎性病灶,但是当炎性渗出物扩散受胸膜或小叶间隔阻挡时,病变扩散受阻。方形征是球形肺炎的特征性表现,其CT表现有:
(1)病灶多位于肺野背侧,靠近胸膜;
(2)病灶多呈方形、楔形、三角形、圆形等表现,病灶临近胸膜侧常表现为典型的方形;
(3)病变中央密度高,周边密度较淡,表现为“晕征”;
(4)病变边缘可不规则,有锯齿状改变但较模糊;
(5)周围胸膜或叶间胸膜反映明显,广泛增厚,位于胸膜面下的病变接触面宽,呈广基相连,部分病例于病灶与胸壁之间可见一低密度线影。
(6)病变周围血管纹增粗、增多、扭曲,但无僵直和受牵拉;
(7)少数病灶内可见支气管充气征;
(8)抗炎治疗后病变明显缩小。

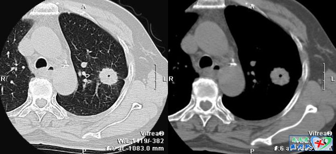
5、CT血管影征(血管包埋征肺静脉包被征)
该征象常用来描述大叶型细支气管肺泡癌(腺癌),是肿瘤沿肺泡壁生长侵润尚未完全破坏肺泡间隔,肺泡壁增厚或邻近肺泡内有分泌物,部分肺泡内仍含气,形成肺炎型改变,增强时可见在病变中穿行的血流强化,称CT血管造影征,多见于肺泡癌。当肺血管进入结节或终止结节时,血管常狭窄。堵塞。截断等。文献认为其中以肺静脉包被(肺静脉包被征)意义最大,提示肺癌机会增加。CT血管影征最初被认为是细支气管肺泡癌的特异性征象(特异性92.3%);而最近这一观点受到怀疑,这可能与缺少明确标准有关(有人提出CT血管影征标准:血管影长>3cm,实变密度低于胸壁肌肉(74HU)。细支气管肺泡癌平均27.6HU,而其它病变73.5HU);CT血管影征见于良性和恶性肺疾病,包括:细支气管肺泡癌、肺炎、肺水肿、中心性肺癌导致的阻塞性肺炎、淋巴瘤及消化道肿瘤肺转移;但在其它病变中实变密度多接近胸壁肌肉。
胸部高分辨扫描图像上,在肺野周边部或外1/3的肺内小叶间隔表现为不规则、结节状增厚。这是肿瘤细胞在毛细血管或淋巴管内不规则膨胀性生长以及继发的血管周围和间质水肿及纤维化。串珠样间隔征的形成,主要是转移瘤细胞或瘤栓经血型或淋巴播散以及逆行性淋巴管转移在肺周边部的毛细血管或淋巴管内,致使转移灶远测血管或淋巴管扩张;转移灶阻塞引起肺间质水肿;病灶在毛细血管和淋巴管周围不规则生长;长期间质水肿继发纤维增生;周边部毛细血管或淋巴管内肿瘤生长并填充其间。该征主要见于肺转移瘤,其次也见于肺结节病和先天性肺小叶周围纤维化。

2、多结节聚合征
胸部高分辨CT扫描时,这种表现有三种表现:花瓣状、桑椹样和葫芦状。花瓣状病灶一般直径在2公分以内,纵隔窗下可见由3~5个1~5mm的小结节聚合而成,每个小结节之间有低密度分隔,形如花瓣;桑葚样病灶大于2公分,由10个左右的小结节聚合而成;葫芦状结构呈多个椭圆形堆彻排列,胸膜侧的结节最大,直径可达3~5公分,其内密度较低,近肺门侧直径较小,直径约1.5公分,形如葫芦状。花瓣状聚合被认为是周围性肺癌的早期表现;桑葚样多结节聚合征可能是小叶间隔纤维增生,肺癌各部生长不一,肿瘤生长遇到阻力;葫芦样结节被认为是肿瘤组织以连续浸润方式进行扩散,由于肿瘤不断增大,从原发肿瘤脱落下来的流组织经组织间隙、淋巴管、血管等侵入并破坏周围正常组织且继续生长(肿瘤成团的充满肺泡腔,并沿肺泡空向周围继续生长,膨胀性扩大)或肿瘤沿肺泡壁伏壁生长,都可以形成此征。

3、反晕征
和晕征的表现相反,在高分辨胸部CT肺窗上观察,病灶中心密度低呈磨玻璃状,周围是新月形或环形高密度,厚度至少2mm。这种表现是由于中心为低密度由肺泡间隔浸润和细胞碎片,周围环形或新月形高密度是肺泡管机化性肺炎或致密、均匀肺泡间细胞浸润所导致的致密气腔实变。起初认为对诊断隐原性肺泡炎有特异性,但随后发现该征象也见于类球孢子菌病的描述中。和晕征相似,当该征象见于多种疾病后,可能失去其特异性。

4、方形征
病变临近胸膜或叶间胸膜时,两侧缘可垂直于胸膜,呈刀切样,致病变呈方形。肺部炎症时,炎性渗出物沿肺泡孔向上下、左右、前后均匀扩散,形成各经线均匀相近的炎性病灶,但是当炎性渗出物扩散受胸膜或小叶间隔阻挡时,病变扩散受阻。方形征是球形肺炎的特征性表现,其CT表现有:
(1)病灶多位于肺野背侧,靠近胸膜;
(2)病灶多呈方形、楔形、三角形、圆形等表现,病灶临近胸膜侧常表现为典型的方形;
(3)病变中央密度高,周边密度较淡,表现为“晕征”;
(4)病变边缘可不规则,有锯齿状改变但较模糊;
(5)周围胸膜或叶间胸膜反映明显,广泛增厚,位于胸膜面下的病变接触面宽,呈广基相连,部分病例于病灶与胸壁之间可见一低密度线影。
(6)病变周围血管纹增粗、增多、扭曲,但无僵直和受牵拉;
(7)少数病灶内可见支气管充气征;
(8)抗炎治疗后病变明显缩小。

5、CT血管影征(血管包埋征肺静脉包被征)
该征象常用来描述大叶型细支气管肺泡癌(腺癌),是肿瘤沿肺泡壁生长侵润尚未完全破坏肺泡间隔,肺泡壁增厚或邻近肺泡内有分泌物,部分肺泡内仍含气,形成肺炎型改变,增强时可见在病变中穿行的血流强化,称CT血管造影征,多见于肺泡癌。当肺血管进入结节或终止结节时,血管常狭窄。堵塞。截断等。文献认为其中以肺静脉包被(肺静脉包被征)意义最大,提示肺癌机会增加。CT血管影征最初被认为是细支气管肺泡癌的特异性征象(特异性92.3%);而最近这一观点受到怀疑,这可能与缺少明确标准有关(有人提出CT血管影征标准:血管影长>3cm,实变密度低于胸壁肌肉(74HU)。细支气管肺泡癌平均27.6HU,而其它病变73.5HU);CT血管影征见于良性和恶性肺疾病,包括:细支气管肺泡癌、肺炎、肺水肿、中心性肺癌导致的阻塞性肺炎、淋巴瘤及消化道肿瘤肺转移;但在其它病变中实变密度多接近胸壁肌肉。
上一篇:浅谈女性的生理周期 下一篇:膝关节疼痛的诊断与鉴别诊断


