位置:GZ医疗队 > 医疗教学 > 教学文档 > 网络资源 >
大脑解剖(2)
来源:未知 作者:seagull8111 点击:次 时间:2013-03-20

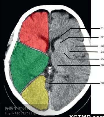
20、小脑上池 (Third ventricle) 21、侧脑室前角 (Frontal horn of lateral ventricle) 21a、第三脑室 (Third ventricle) 绿色部分为颞叶(Temporal Lobe),浅红色部分为额叶(Frontal Lobe),黄色部分为枕叶(Occipital Lobe)

22、尾状核头部 (Head of caudate nucleus) 23、岛叶 (Insular cortex) 24、外囊 (External capsule) 25、豆状核(Lentiform nucleus) 26、丘脑(Thalamus) 绿色部分为颞叶(Temporal Lobe),浅红色部分为额叶(Frontal Lobe),黄色部分为枕叶(Occipital Lobe)

27、纵裂 (Interhemispheric fissure) 28、内囊前肢 (Anterior limb of internal capsule) 29、内囊膝部 (Genu of internal capsule) 30、内囊后肢(Posterior limb of internal capsule) 31、侧脑室三角区及脉络丛钙化(Trigone of lateral ventricle and calcified choroid plexus) 32、侧脑室枕角(Occipital horn of lateral ventricle) 绿色部分为颞叶(Temporal Lobe),浅红色部分为额叶(Frontal Lobe),黄色部分为枕叶(Occipital Lobe),褐色部分为顶叶(Parietal Lobe)

33、侧脑室体部 (Body of lateral ventricle) 34、放射冠 (Corona radiata) 浅红色部分为额叶(Frontal Lobe),黄色部分为枕叶(Occipital Lobe),褐色部分为顶叶(Parietal Lobe)

35、半卵圆中心 (Centrum semiovale) 浅红色部分为额叶(Frontal Lobe),黄色部分为枕叶(Occipital Lobe),褐色部分为顶叶(Parietal Lobe) 额骨(FB— Frontal bone) 顶骨(PB — Parietal bone) 枕骨(OB— Occipital bone)
上一篇:力量训练动态3D图解 下一篇:神经传导路


