位置:GZ医疗队 > 医疗教学 > 教学文档 > 网络资源 >
大脑解剖
来源:未知 作者:seagull8111 点击:次 时间:2013-03-20

1、蝶窦(Sphenoid sinus) 2、延髓 (Medulla oblongata) 3、小脑 (cerebellum)
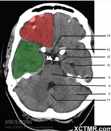
绿色部分为颞叶(Temporal Lobe),
浅红色部分为额叶(Frontal Lobe)

4、第四脑室(Fourth ventricle) 5、小脑中角(Middle cerebellar peduncle) 6、乙状窦(Sigmoid sinus) 7、颞骨及乳突气房 (Petrous temporal bone and mastoid air cells) 8、桥小脑角(Cerebellopontine angle) 9、脑桥 (Pons) 10、垂体窝(Pituitary fossa) 绿色部分为颞叶(Temporal Lobe),浅红色部分为额叶(Frontal Lobe)

11、小脑蚓部(Cerebellar vermis) 12、基底动脉(Basilar artery) 13、桥前池 (Prepontine cistern) 14、鞍背 (Dorsum sellae) 15、侧脑室颞角(Temporal horn of lateral ventricle) 绿色部分为颞叶(Temporal Lobe),浅红色部分为额叶(Frontal Lobe)

16、环池 (Ambient cistern) 17、角间池 (Interpeduncular cistern) 18、大脑角 (Cerebral peduncle) 19、侧裂池 (Sylvian fissure) 绿色部分为颞叶(Temporal Lobe),浅红色部分为额叶(Frontal Lobe)
上一篇:力量训练动态3D图解 下一篇:神经传导路


