位置:主页 > 医疗教学 > 教学文档 > 网络资源
一氧化碳中毒
来源:未知 作者:seagull8111 点击:次 时间:2013-03-20
冬天过去了,今年见到一氧化碳中毒的病人特别多。找了些资料与同行们分享。
一氧化碳中毒
Carbon Monoxide Poisoning
林德尔·K·韦弗美
国犹他州盐湖城LDS医院高压医疗(Hyperbaric Medicine)科
一名39岁的女主管自述有数月的疲乏、头痛和记忆力减退史。多位专科医师对她进行过评估,但均未确诊。她在感觉情况比平时更糟时给一个朋友打了电话,朋友到达这名妇女的住所时发现她处于半昏迷状态,于是拨打了911。急救人员给患者补充氧气并将其送至急诊部,在急诊部体检时她的神志清醒,医师没有发现局部病变。她的碳氧血红蛋白水平为18%。应如何对她进行治疗?预期转归如何?
临床问题
一氧化碳中毒常见,美国每年因一氧化碳中毒到急诊部就诊的病例超过5万(例)次。一氧化碳的来源包括有故障的炉具,供暖设备通风不足以及暴露于发动机废气等。
一氧化碳中毒的症状没有特异性。轻度暴露可引起头痛、肌痛、头晕或神经心理损害。严重暴露于一氧化碳可导致意识错乱、意识丧失或死亡(图1)。亚临床暴露的患者有可能在一次急性事件后或偶然发现一氧化碳泄漏时才意识到中毒。
在生理量时,内源性一氧化碳有神经递质的功能。在低水平时,一氧化碳可能有利于调节炎症、细胞凋亡和细胞增殖,它还上调线粒体的生物发生。当一氧化碳暴露量增加时可导致中毒(图1)。

一氧化碳通过形成碳氧血红蛋白和使氧合血红蛋白的解离曲线左移,引起缺氧(图2)。一氧化碳与血红蛋白的亲和力是氧与血红蛋白亲和力的200多倍,因而导致在即使吸入相对少量的一氧化碳时,也可形成碳氧血红蛋白。一氧化碳增加细胞溶质的血红素水平,从而导致氧化应激,一氧化碳与血小板血红素蛋白和细胞色素C氧化酶结合,阻断细胞呼吸并引起活性氧簇的产生,后者进一步导致神经元坏死和细胞凋亡。细胞呼吸受损引发应激反应,包括激活缺氧诱导因子1α,通过基因调节产生神经系统和心脏保护作用5或导致损伤(取决于一氧化碳的量)。一氧化碳暴露还通过独立于缺氧途径的多种途径引起炎症,导致神经系统和心脏损伤。

持续时间超过24小时的长期、亚急性一氧化碳暴露,通常间断发生,有可能持续数周或甚至数年。长期暴露(于一氧化碳)的发生率还不了解。慢性中毒的症状有可能与急性中毒的症状不同,包括慢性疲乏、情感障碍、情绪忧伤、记忆缺陷、工作困难、睡眠障碍、眩晕、神经病、感觉异常、反复感染、红细胞增多症、腹痛和腹泻。患者在一氧化碳中毒后常有神经心理后遗症。一项随机试验显示,46%接受常压氧疗的一氧化碳中毒患者在中毒后6周有认知后遗症,45%有情感后遗症。其他后遗症包括步态和运动障碍、周围神经病、听力丧失和前庭(功能)异常以及痴呆和精神病,这些后遗症可能是永久性的。
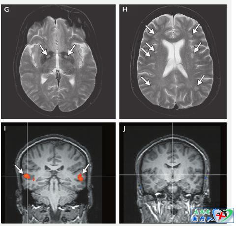
患者一氧化碳中毒后的脑磁共振成像(MRI)检查(为了研究目的而实施,某些病例有施行MRI的临床适应证,例如为了除外与一氧化碳暴露无关的疾病),有可能显示异常结果(图3)。在一项纳入一氧化碳中毒患者的前瞻性研究中,脑MRI显示(患者的)T2加权高信号数,多于基准数据库中的高信号数。虽然影像学异常改变的发生率还不知道,但其他纳入一氧化碳中毒患者的研究曾经报告过中毒数年后的基底神经节病变、海马和其他结构萎缩,以及中毒1个月后扩散张量成像的异常结果。然而,这些异常对一氧化碳中毒而言都不具有特异性。


策略和证据
短期处理
接到呼叫后赶到现场的急救人员,应给中毒患者吸常压氧,采用提供高流量氧的非重复呼吸贮气面罩,或如果合适的话,通过一条人工气道提供100%的氧气。然后,急救人员应将中毒患者送至急诊部进行评估。虽然使用常压氧可加速一氧化碳的清除,但一项试验结果显示,与不提供氧气治疗相比,吸入常压氧不能减少患者的认知后遗症。然而,由于常压氧安全、易于获取而且价廉,应给患者使用常压氧,直至其碳氧血红蛋白水平低于5%。
对中毒患者的评估应侧重于通气和(血流)灌注是否充分,神经系统检查和暴露史(持续时间、来源以及是否有其他人暴露)。如果中毒患者有临床指征,应采用复合血氧测定仪测量其动脉血气值,它们能够提供有关气体交换充分度、代谢性酸中毒和碳氧血红蛋白的信息。然而,测定静脉的碳氧血红蛋白水平就足以作出诊断。碳氧血红蛋白水平取决于多种因素,包括暴露量、肺泡通气程度、血容量和代谢活性,但对于静息状态下的成年男性,碳氧血红蛋白水平主要取决于周围环境的一氧化碳水平和暴露的持续时间。非吸烟者的碳氧血红蛋白水平>3%或吸烟者的碳氧血红蛋白水平>10%,可证实他们暴露于一氧化碳,但碳氧血红蛋白水平与患者有无最初症状或以后的转归无关18,转归更多地归因于中毒相关性炎症,归因于缺氧的转归较少。
一氧化碳中毒
Carbon Monoxide Poisoning
林德尔·K·韦弗美
国犹他州盐湖城LDS医院高压医疗(Hyperbaric Medicine)科
一名39岁的女主管自述有数月的疲乏、头痛和记忆力减退史。多位专科医师对她进行过评估,但均未确诊。她在感觉情况比平时更糟时给一个朋友打了电话,朋友到达这名妇女的住所时发现她处于半昏迷状态,于是拨打了911。急救人员给患者补充氧气并将其送至急诊部,在急诊部体检时她的神志清醒,医师没有发现局部病变。她的碳氧血红蛋白水平为18%。应如何对她进行治疗?预期转归如何?
临床问题
一氧化碳中毒常见,美国每年因一氧化碳中毒到急诊部就诊的病例超过5万(例)次。一氧化碳的来源包括有故障的炉具,供暖设备通风不足以及暴露于发动机废气等。
一氧化碳中毒的症状没有特异性。轻度暴露可引起头痛、肌痛、头晕或神经心理损害。严重暴露于一氧化碳可导致意识错乱、意识丧失或死亡(图1)。亚临床暴露的患者有可能在一次急性事件后或偶然发现一氧化碳泄漏时才意识到中毒。
在生理量时,内源性一氧化碳有神经递质的功能。在低水平时,一氧化碳可能有利于调节炎症、细胞凋亡和细胞增殖,它还上调线粒体的生物发生。当一氧化碳暴露量增加时可导致中毒(图1)。

一氧化碳通过形成碳氧血红蛋白和使氧合血红蛋白的解离曲线左移,引起缺氧(图2)。一氧化碳与血红蛋白的亲和力是氧与血红蛋白亲和力的200多倍,因而导致在即使吸入相对少量的一氧化碳时,也可形成碳氧血红蛋白。一氧化碳增加细胞溶质的血红素水平,从而导致氧化应激,一氧化碳与血小板血红素蛋白和细胞色素C氧化酶结合,阻断细胞呼吸并引起活性氧簇的产生,后者进一步导致神经元坏死和细胞凋亡。细胞呼吸受损引发应激反应,包括激活缺氧诱导因子1α,通过基因调节产生神经系统和心脏保护作用5或导致损伤(取决于一氧化碳的量)。一氧化碳暴露还通过独立于缺氧途径的多种途径引起炎症,导致神经系统和心脏损伤。

持续时间超过24小时的长期、亚急性一氧化碳暴露,通常间断发生,有可能持续数周或甚至数年。长期暴露(于一氧化碳)的发生率还不了解。慢性中毒的症状有可能与急性中毒的症状不同,包括慢性疲乏、情感障碍、情绪忧伤、记忆缺陷、工作困难、睡眠障碍、眩晕、神经病、感觉异常、反复感染、红细胞增多症、腹痛和腹泻。患者在一氧化碳中毒后常有神经心理后遗症。一项随机试验显示,46%接受常压氧疗的一氧化碳中毒患者在中毒后6周有认知后遗症,45%有情感后遗症。其他后遗症包括步态和运动障碍、周围神经病、听力丧失和前庭(功能)异常以及痴呆和精神病,这些后遗症可能是永久性的。
患者一氧化碳中毒后的脑磁共振成像(MRI)检查(为了研究目的而实施,某些病例有施行MRI的临床适应证,例如为了除外与一氧化碳暴露无关的疾病),有可能显示异常结果(图3)。在一项纳入一氧化碳中毒患者的前瞻性研究中,脑MRI显示(患者的)T2加权高信号数,多于基准数据库中的高信号数。虽然影像学异常改变的发生率还不知道,但其他纳入一氧化碳中毒患者的研究曾经报告过中毒数年后的基底神经节病变、海马和其他结构萎缩,以及中毒1个月后扩散张量成像的异常结果。然而,这些异常对一氧化碳中毒而言都不具有特异性。


策略和证据
短期处理
接到呼叫后赶到现场的急救人员,应给中毒患者吸常压氧,采用提供高流量氧的非重复呼吸贮气面罩,或如果合适的话,通过一条人工气道提供100%的氧气。然后,急救人员应将中毒患者送至急诊部进行评估。虽然使用常压氧可加速一氧化碳的清除,但一项试验结果显示,与不提供氧气治疗相比,吸入常压氧不能减少患者的认知后遗症。然而,由于常压氧安全、易于获取而且价廉,应给患者使用常压氧,直至其碳氧血红蛋白水平低于5%。
对中毒患者的评估应侧重于通气和(血流)灌注是否充分,神经系统检查和暴露史(持续时间、来源以及是否有其他人暴露)。如果中毒患者有临床指征,应采用复合血氧测定仪测量其动脉血气值,它们能够提供有关气体交换充分度、代谢性酸中毒和碳氧血红蛋白的信息。然而,测定静脉的碳氧血红蛋白水平就足以作出诊断。碳氧血红蛋白水平取决于多种因素,包括暴露量、肺泡通气程度、血容量和代谢活性,但对于静息状态下的成年男性,碳氧血红蛋白水平主要取决于周围环境的一氧化碳水平和暴露的持续时间。非吸烟者的碳氧血红蛋白水平>3%或吸烟者的碳氧血红蛋白水平>10%,可证实他们暴露于一氧化碳,但碳氧血红蛋白水平与患者有无最初症状或以后的转归无关18,转归更多地归因于中毒相关性炎症,归因于缺氧的转归较少。


