位置:主页 > 医疗教学 > 教学文档 > 网络资源
肠梗阻影象资料
来源:未知 作者:seagull8111 点击:次 时间:2013-03-20
肠梗阻影象资料
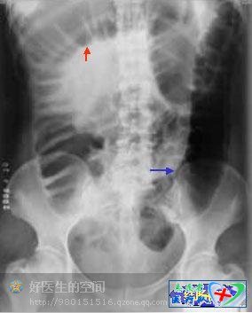
绞窄性小肠梗阻:表现为梗阻近段肠曲扩张、积液多、积气少(红箭头),即表现为腹腔内有较多的小气液平面(蓝箭头),空、回肠转位,可见“假肿瘤”征——即两端闭锁的绞锁肠段内充满大量液体,致使仰卧前后位片上呈肿块影,而站立位或侧卧水平位片上则在该肿瘤块影上部见一短小的液面。

肠管扩张、积气、积液,并见结肠袋,结肠梗阻的特点是梗阻近段的扩张较远离端轻。根据积气扩张的肠管形态可判断梗阻的大体部位,空肠呈鱼肋状,回肠呈光滑管状,结肠可见结肠袋。空肠段以上梗阻为高位肠梗阻,回肠段以下梗阻为低位肠梗阻

麻痹性肠梗阻:表现为全腹内肠管轻中度扩张,积气多、积液小,即液平面短小。

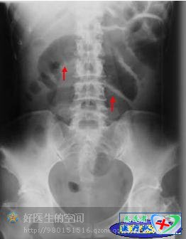
梗阻发生3-6小时后,出现梗阻近端肠曲扩张、积气(红箭头)、肠内有高低不等的阶梯状气液平面(蓝箭头)。

梗阻发生3-6小时后,出现梗阻近端肠曲扩张、积气(红箭头)、肠内有高低不等的阶梯状气液平面(蓝箭头)。根据积气扩张的肠管形态可判断梗阻的大体部位,空肠呈鱼肋状,回肠呈光滑管状,结肠可见结肠袋。空肠段以上梗阻为高位肠梗阻,回肠段以下梗阻为低位肠梗阻。

绞窄性小肠梗阻:表现为梗阻近段肠曲扩张、积液多、积气少(红箭头),即表现为腹腔内有较多的小气液平面(蓝箭头),空、回肠转位,可见“假肿瘤”征——即两端闭锁的绞锁肠段内充满大量液体,致使仰卧前后位片上呈肿块影,而站立位或侧卧水平位片上则在该肿瘤块影上部见一短小的液面。

肠管扩张、积气、积液,并见结肠袋,结肠梗阻的特点是梗阻近段的扩张较远离端轻。根据积气扩张的肠管形态可判断梗阻的大体部位,空肠呈鱼肋状,回肠呈光滑管状,结肠可见结肠袋。空肠段以上梗阻为高位肠梗阻,回肠段以下梗阻为低位肠梗阻

麻痹性肠梗阻:表现为全腹内肠管轻中度扩张,积气多、积液小,即液平面短小。

梗阻发生3-6小时后,出现梗阻近端肠曲扩张、积气(红箭头)、肠内有高低不等的阶梯状气液平面(蓝箭头)。

梗阻发生3-6小时后,出现梗阻近端肠曲扩张、积气(红箭头)、肠内有高低不等的阶梯状气液平面(蓝箭头)。根据积气扩张的肠管形态可判断梗阻的大体部位,空肠呈鱼肋状,回肠呈光滑管状,结肠可见结肠袋。空肠段以上梗阻为高位肠梗阻,回肠段以下梗阻为低位肠梗阻。

上一篇:调脂治疗快速记忆口诀 下一篇:一氧化碳中毒


