位置:GZ医疗队 > 医疗教学 > 教学文档 > 网络资源 >
胸水定位(2)
来源:未知 作者:seagull8111 点击:次 时间:2013-03-15

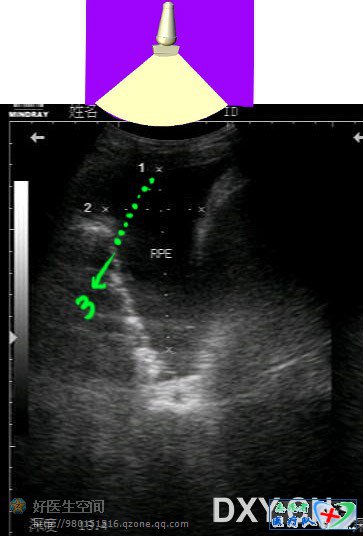
这里面就有安全隐患了,我们先来分析一下这个报告,我们把这个图转90度这样就符合我们的审美要求了,首先我们分清哪里是皮肤,哪里是胸水,哪里是被压迫肺下缘,哪里是膈肌上缘,注意我旁边付了一张小图,这样亲们就可以理解了,还有不明白的吗?不明白请举手

问题出来了,
有些B超医生把前后径定位在绿线1出,这个很危险,不当无法估计胸水量,而且胸水少时这个前后径很细,就是一条小缝,歪一点就扎到肺了,临床医生以为胸水很多,深度10cm呢,一针下去,到肺了
绿线2是上下径,这个上下径应该定在哪个位置也是靠感觉,
现在很多B超医生把前后径定在红线3处,这样比较合适,但斜到什么水平也是跟着感觉走
B超医生以为临床医生都懂得看,我不知道大家过去是不是都注意到了,认真看图了吗,我靠,没看懂你就穿
现在我把图转90度竖起来,恢复B超报告排版样式,顺便纠正一条线,亲们都看懂了吗?没看懂请举手

下面就要讲为什么要写这个帖子,乱七八糟讲了这么一大堆,亲们看的很开心,可是想过为什么我要写这个帖子
首先是为了偷懒:临床上多一事不如少一事,抽胸水是个冒险的活,大凡有胸水之人病情都重,体质差,年龄大,如果今天手气背扎破两个肺大泡,气胸了,明天说不定说不定家属就要在你科里摆灵堂,所以特别是老人家----一句话不折腾,或者说不瞎折腾,胸水分少,中,大,对于少量胸水以诊断穿刺为主,老人家病情重的,甚至不穿比穿更好,有些心衰的,还在消毒,就吓得双手发抖,心动过速了,对于中量胸水诊断和治疗并行,大量胸水以治疗(缓解症状)为主,但是CT经常会给人误导,给人感觉胸水量不少,不抽实在不好意思跟人家打招呼呀,这个确实这样,问题是你得的让周围同事甚至你的上级医生相信你的决策谁对的,很简单,别做B超,拍个正侧位片一
由于这个帖子我写写停停,因此大家如果看到这个彩蛋才是真正的完结篇,上面说过了,个人感觉这个定位有点偏下,按我们经典的理论在肩胛下线上肺下界在第10肋间隙,也就是说我们要尽量避免在这个位置或这个位置以下进针以免穿到腹腔脏器,这个位置我个人感觉偏低,当时轮转医生带病人下去,现在我用什么办法印证我的想法,刚好病人今天要复查抽液后情况,我在标记的地方贴上心电监护的贴片,上面有金属纽扣,我在同一水平线贴了几个,就这么简单,
彩蛋就在下图,亲们不要浪费这个机会,这个定位点在8肋间?9肋间?10肋间?11肋间?你们的答案是什么?

呵呵,我猜错了,虽然体表上感觉偏低,但确实是很标准的肩胛下线第9肋间隙,感谢B超医生的精彩定位,感谢亲们的支持,感谢好医生 ,非常感谢!(完结)
CT:跟胸膜弧形平行走向液性密度——少量积液,中等量——新月形液性密度,肺组织轻度压缩,大量——肺组织受压明显,纵隔对侧移位。
B超诊断胸水多测量胸水厚度
上一篇:医学统计学分析基本思路指南 下一篇:如何有序地阅读胸片


