位置:GZ医疗队 > 医疗教学 > 教学文档 > 网络资源 >
胸水定位
来源:未知 作者:seagull8111 点击:次 时间:2013-03-15
胸水定位
记住,正确的pose应该这样摆,当然你会说拍片位置角度本身就千差万别,这个就跟学心电图一样,你不能说人的体型千差万别你的心电图胸导就可以随便放吧,现在开始数骨头,数一数胸椎,数一数肋骨,拍的好的胸片胸锁关节平面正对第三胸椎,左右锁骨是对称的,看片是一眼看去先看这个这是个很重要的小技巧

这个看熟悉了,我用软件处理一下,现在在这个效果再次数骨头,熟悉了你就可以找几张胸片练一练眼力啦
仅仅会看骨头是不够的,我们还要借助胸片上的一些标准协助定位
胸骨柄下是第二肋间隙,在这里有一个非常重要解剖结构就是气管开始分叉,CT上这个平面叫肺动脉窗平面
我们熟悉的肝上界是第五肋间隙吧就是锁骨中线上膈肌顶端 (顺便复习下肺下界在锁骨中线、腋前线、肩胛下线是6、8、10肋间这个在胸水定位中也很重要),我接着上图,各位有兴趣接着数骨头

在侧面上,我用了专门的解剖软件,结合我的看片经验,我认为第二肋间隙一般是对着第5胸椎,有的是到了第6胸椎,而教材上第4胸椎下缘的反而不多见,而第5肋间隙与锁骨中线交叉点高度应该对着第9胸椎

还有一个小技巧,如果能找到水平裂,在侧位应该对着第7胸椎或其下缘

后的一些标志,注意拍片室肩胛骨是打开的,但我们抽胸水是肩胛骨可以用到,肩胛骨下缘多数是在第7肋间隙(肩胛下线)

我们所说的肺下界平静呼吸时在肩胛下线是第10肋间,前面提过,但是注意其实我们扣得应该是整个膈肌以上胸腔下缘,真正肺部伸不到那儿,要高一点,这一点教材没提到,在抽胸水时要理解

·

还有一种实用的提法:少量----胸水淹没膈肌以下,中量胸水淹没膈肌以上到第2肋间隙,大量第2肋间隙以上
等等------似乎出问题了,肝上界(膈肌顶)在第5肋间隙,平第9椎体,第一种提法不是说少量胸水是在第4肋间隙以下,现在怎么又成了第5肋间隙以下,不是变低了一个肋间隙?
其实是一个意思,第4肋间隙的提法指的是胸水最高处,而淹没膈肌指的是胸水当中,视觉上好像差一个肋间,其实一样高,我做个示意模型,理解表明张力的效果

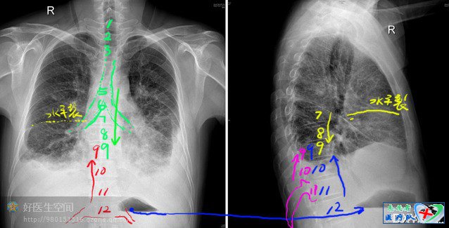
现在进入实战阶段,我用5中方法(不同的颜色)数骨头,为胸水定位

1、先用胸锁关节定位标出1,2,3 胸椎,这个片子照的不是很正,下面数不清楚,
不要紧,抓住气管分叉,标出6、7、8、9 关键的9出来了,这个刚好对着膈肌顶端被胸水淹没,左右两侧胸水凸起最高处应该在9胸椎中上缘
2,从第12胸椎往上数很容易定出9胸椎(当然不是每回都有这么好的运气
3,用水平裂往下数7、8、9
4侧位上最长最下的肋骨不会是12肋因为12肋很小经常在侧位被遮住,可以肯定这个是11,往上数11、10、9
5,有个胃泡水平,可以用的上,左右对照,确定12胸椎,往上数,有点像心电图12导同步找P波的方法
所以这个人胸水是少量上限,快到中量了
好了如果能耐心的看到这里,亲们基本都达到看胸初级水平了
说到这里不得不提一下胸水的量,多大量胸水才是中量?这个似乎提法很多,而且个人身高体重不同因此没有确切指标是对的,但是要注意的是量一定要指明是单侧还是双侧,前面250ml极少量是指单侧
普通男性肺活量3500ml,加1000ml残气量 ==肺总量4500ml,所以普通男性单侧胸腔量 2200ml左右,女性2000ml左右,基于这个意义说单侧 250ml以下极少量,单侧500ml以下少量,单侧500--1000ml中量,单侧大于1000ml大量亲们可以接受吧,不过这只是个感性认识不做参考

下面是关键,给胸水定位无论在那个径线(通常都是肩胛下线)探头都是垂直的,就是和脊柱是平行的,在这个基础上扫出皮肤厚度,无回声区(现在不写液性暗区,也就是告诉临床医生不一定是胸腔积液哦,如果是肺水肿我也不负责,亲们可要小心),无回声区前后径,上下径,有的还有左右径,好心一点写上安全进针距离,大概估个液体量,最后定个叉叉
记住,正确的pose应该这样摆,当然你会说拍片位置角度本身就千差万别,这个就跟学心电图一样,你不能说人的体型千差万别你的心电图胸导就可以随便放吧,现在开始数骨头,数一数胸椎,数一数肋骨,拍的好的胸片胸锁关节平面正对第三胸椎,左右锁骨是对称的,看片是一眼看去先看这个这是个很重要的小技巧

这个看熟悉了,我用软件处理一下,现在在这个效果再次数骨头,熟悉了你就可以找几张胸片练一练眼力啦
仅仅会看骨头是不够的,我们还要借助胸片上的一些标准协助定位
胸骨柄下是第二肋间隙,在这里有一个非常重要解剖结构就是气管开始分叉,CT上这个平面叫肺动脉窗平面
我们熟悉的肝上界是第五肋间隙吧就是锁骨中线上膈肌顶端 (顺便复习下肺下界在锁骨中线、腋前线、肩胛下线是6、8、10肋间这个在胸水定位中也很重要),我接着上图,各位有兴趣接着数骨头

在侧面上,我用了专门的解剖软件,结合我的看片经验,我认为第二肋间隙一般是对着第5胸椎,有的是到了第6胸椎,而教材上第4胸椎下缘的反而不多见,而第5肋间隙与锁骨中线交叉点高度应该对着第9胸椎

还有一个小技巧,如果能找到水平裂,在侧位应该对着第7胸椎或其下缘

后的一些标志,注意拍片室肩胛骨是打开的,但我们抽胸水是肩胛骨可以用到,肩胛骨下缘多数是在第7肋间隙(肩胛下线)

我们所说的肺下界平静呼吸时在肩胛下线是第10肋间,前面提过,但是注意其实我们扣得应该是整个膈肌以上胸腔下缘,真正肺部伸不到那儿,要高一点,这一点教材没提到,在抽胸水时要理解

·
| 下面要讲讲胸片上少量、中量、大量胸水是肿么划分的其实并不是一蹴而就 ,第5版放射学这样写少量是在第4肋间隙以下,中量第4肋间隙到第2肋间隙,超过第2肋间隙是大量,而同是吴恩惠主编第3版放射学提法就很模糊,同时极少量肋膈角变钝第3版放射学是300ml,第5版放射学是250ml,亲们要注意看哦,目前大家认同第5版放射学的提法吧 |

还有一种实用的提法:少量----胸水淹没膈肌以下,中量胸水淹没膈肌以上到第2肋间隙,大量第2肋间隙以上
等等------似乎出问题了,肝上界(膈肌顶)在第5肋间隙,平第9椎体,第一种提法不是说少量胸水是在第4肋间隙以下,现在怎么又成了第5肋间隙以下,不是变低了一个肋间隙?
其实是一个意思,第4肋间隙的提法指的是胸水最高处,而淹没膈肌指的是胸水当中,视觉上好像差一个肋间,其实一样高,我做个示意模型,理解表明张力的效果

现在进入实战阶段,我用5中方法(不同的颜色)数骨头,为胸水定位

1、先用胸锁关节定位标出1,2,3 胸椎,这个片子照的不是很正,下面数不清楚,
不要紧,抓住气管分叉,标出6、7、8、9 关键的9出来了,这个刚好对着膈肌顶端被胸水淹没,左右两侧胸水凸起最高处应该在9胸椎中上缘
2,从第12胸椎往上数很容易定出9胸椎(当然不是每回都有这么好的运气
3,用水平裂往下数7、8、9
4侧位上最长最下的肋骨不会是12肋因为12肋很小经常在侧位被遮住,可以肯定这个是11,往上数11、10、9
5,有个胃泡水平,可以用的上,左右对照,确定12胸椎,往上数,有点像心电图12导同步找P波的方法
所以这个人胸水是少量上限,快到中量了
好了如果能耐心的看到这里,亲们基本都达到看胸初级水平了
说到这里不得不提一下胸水的量,多大量胸水才是中量?这个似乎提法很多,而且个人身高体重不同因此没有确切指标是对的,但是要注意的是量一定要指明是单侧还是双侧,前面250ml极少量是指单侧
普通男性肺活量3500ml,加1000ml残气量 ==肺总量4500ml,所以普通男性单侧胸腔量 2200ml左右,女性2000ml左右,基于这个意义说单侧 250ml以下极少量,单侧500ml以下少量,单侧500--1000ml中量,单侧大于1000ml大量亲们可以接受吧,不过这只是个感性认识不做参考

下面是关键,给胸水定位无论在那个径线(通常都是肩胛下线)探头都是垂直的,就是和脊柱是平行的,在这个基础上扫出皮肤厚度,无回声区(现在不写液性暗区,也就是告诉临床医生不一定是胸腔积液哦,如果是肺水肿我也不负责,亲们可要小心),无回声区前后径,上下径,有的还有左右径,好心一点写上安全进针距离,大概估个液体量,最后定个叉叉
上一篇:医学统计学分析基本思路指南 下一篇:如何有序地阅读胸片


